Bir Günde Sabit Dişler

İmplant tedavisi, diş eksikliği yaşayan bireylere yeni dişler sağlamak için uygulanan bir yöntemdir. Bu tedavi, titanyumdan yapılmış vidaların çene kemiğine yerleştirilmesini içerir ve ardından bu vidaların üzerine özel olarak hazırlanan diş protezlerinin takılmasını içerir.
İmplant tedavisinin diğer diş tedavilerine göre avantajı, komşu dişlere herhangi bir zarar vermeden sadece eksik diş bölgesine odaklanabilmesidir. Bu, tek bir işlemle eksik dişin yerine sağlam bir çözüm sunar, implantlar doğal dişin fonksiyonunu yerine getirir ve hastalar kendi dişlerini kullanırken konfor yaşarlar. DTG Diş kliniği olarak, implant tedavilerini başarıyla gerçekleştirerek hastalarımızın sağlıklı gülüşlere kavuşmalarına yardımcı olmaktan gurur duyuyoruz.
İmplant tedavisinin aşamaları dikkatlice planlanır ve uygulanır. Bu aşamalar arasında planlama ve operasyon evreleri bulunur. İmplant, genellikle beş aşamada takılır ve uygulanan yöntemlere göre farklılık gösterebilir.
İlk aşama, implant tedavisine uygunluğu belirlemek için yapılan ilk muayene ve detaylı bir planlamayı içerir. Bu aşamada hastanın ağız içi detaylı bir şekilde incelenir ve kaç adet implant kullanılacağı gibi detaylar belirlenir. Üç boyutlu tomografi ile çene görüntüsü alınarak implantın yerleştirileceği bölge belirlenir.
İkinci aşama, implant operasyonunun gerçekleştirildiği aşamadır. Uzman diş hekimleri tarafından yapılan operasyon öncesinde lokal anestezi uygulanır. İmplant, uygun cerrahi aletlerle çene kemiğine yerleştirilir ve gerekirse dikiş atılarak işlem tamamlanır. Bu aşama hastaya ve implant sayısına bağlı olarak 3 ay kadar sürebilir.
Üçüncü aşama, iyileşme dönemidir. İmplantın çene kemiğiyle bütünleşmesi için belirli bir süre beklenir. Başarısız implant oranı genellikle düşüktür ve çoğu hastada implantlar başarılı bir şekilde kaynar, hastalar kendi dişleri gibi kullanmaya devam ederler.
Dördüncü aşama, implantın yerleştirilmesini içerir. Lokal anestezi yapıldıktan sonra, planlanan şekilde implantlar yerleştirilir. Bazı durumlarda çene kemiği yetersizse, genel anestezi altında implant tedavisi uygulanabilir.
Beşinci ve son aşama, protezin hazırlanmasıdır. İmplant tedavisi için gerekli teşhis ve planlamalar yapıldıktan sonra, hastanın kişisel tercihleri ve mevcut diş durumu göz önüne alınarak özel bir protez tasarlanır. Renk ve uyum, hastanın mevcut dişlerine uyacak şekilde dikkate alınır ve protez hazırlanır.
DTG Diş kliniği olarak, implant tedavilerini titizlikle planlayarak ve uygulayarak hastalarımızın sağlıklı bir ağız yapısına kavuşmalarına destek oluyoruz.
All on 4 implant tedavisiyle Antalya'daki diş kliniğimizde sadece bir günde sabit dişlere kavuşabilirsiniz
Kulağa küçük bir mucize gibi gelse de, yenilikçi All on 4® tedavi konsepti, dişsiz çenesi olan hastalara Antalya'daki diş kliniğimizde sadece bir günde sabit protezler sağlamayı mümkün kılıyor. Hastalar muayenehanemizden sabit, güzel dişlerle ayrılıyor ve yaşam kalitesinin tadını çıkarıyorlar.
All on 4 tedavi konseptinin kullanan diş hekimleri olarak, kendimizi geliştiriyor teknolojik gelişmeleri yakından takip ediyoruz ve bu benzersiz yöntemde kanıtlanmış deneyime sahibiz. Sertifikalı diş hekimleri olarak, üretici tarafından belirlenen yüksek kalite standartlarına uymayı ve tüm All on 4® tedavilerini kapsamlı bir şekilde belgelemeyi taahhüt ediyoruz.
All on 4 Tedavi Konsepti Fiyatları ve Avantajları
All on 4 tedavi konsepti, dişsiz çenesi olan hastalar için geliştirilmiştir. Prensip olarak, diş cerrahisi için sağlık gereklilikleri karşılandığı takdirde, yaşlılar da dahil olmak üzere her yaştan tüm yetişkinler için uygundur. All on 4 tedavi konsepti özellikle endişeli hastalar ve çıkarılabilir tam protezlerinden memnun olmayan ve uzun vadede dişlerinin tam işlevselliğini ve doğal estetiğini sağlamak isteyen kişiler için uygundur.
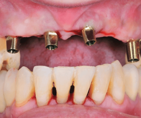
Estetik ve işlevsel açıdan yüksek kaliteli All on 4 tedavi konsepti, dişsiz çene başına dört implanta dayanmaktadır. Yapay diş kökleri özel olarak şekillendirilir ve implant tedavisi sırasında önceden hesaplanmış bir açıyla çene kemiğine yerleştirilir. Bu özel açı stabil bir ankraj sağlar ve küçük bir çene kemiği hacmiyle de mümkündür. Operasyon lokal ya da genel anestezi altında gerçekleştirilir. Kalan dişlerin çekilmesi gerekiyorsa, bu tek bir randevuda yapılır. Cerrahi işlemin yapıldığı gün, geçici sabit protezler başlangıçta implantlara takılır ve anestezi geçtikten hemen sonra takılabilir. DTG Diş Kliniği olarak Medentika ve Nucleoss marka implantlar kullanıyoruz.
Doğal olarak, All on 4 tedavisinden önce kapsamlı muayeneler ve konsültasyonlar yapılır. All on 4® implant tedavisinin maliyetleri yalnızca malzeme maliyetlerine değil, aynı zamanda çenenin durumuna bağlı olarak ilgili diş durumuna da bağlıdır. Bu nedenle bireysel maliyetler büyük farklılıklar gösterebilir, ancak bunlar önceden hazırlanan ve ayrıntılı olarak açıklanan tedavi ve maliyet planında görülebilir. Bununla birlikte, çene başına yalnızca dört implant gerektiğinden, All on 4 yöntemi genellikle bütçe üzerinde geleneksel tedavilerden daha uygun fiyatlıdır.
All on 4 tedavi yöntemi, prosedür minimal invaziv olduğundan, ameliyat edilen alan çok daha küçük olduğundan ve bu nedenle yara iyileşmesi daha hızlıdır. Daha önce rahatsız edici bir tam protez kullanan hastalar, ağız cerrahisinden hemen sonra yeni bir yaşam kalitesinin tadını çıkarabilirler. Işıltılı bir gülümseme, özgür konuşma, damak plağı nedeniyle tat alma duyusunda bozulma olmaması ve hepsinden önemlisi, her şeyi tekrar yiyebilmeleri onlara yeni bir yaşam zevki verir.
Tedavi sonrası bakım da aynı derecede önemlidir: Tedavinin uzun vadeli başarısını sağlamak için hasta ve diş hekimi arasındaki güvene dayalı işbirliği büyük önem taşır. Evde ağız hijyeni, düzenli kontroller ve profesyonel diş temizliğinin mükemmel karışımıyla All on 4 diş implantlarınızın uzun ömürlü olmasını sağlayacağız.
Dişsiz Üst Çene için All on 4 Tedavi Konsepti
Üst çenede tam bir diş sırası için sabit protezlerle yapılan geleneksel standart tedavi en az 8 implant gerektirir. All on 4 tedavi yöntemi ile sadece dört yapay diş kökü gereklidir. Bunlardan ikisi üst çenenin ön bölgesine, birer tanesi de azı dişi bölgesinde özel bir delme açısıyla sol ve sağ tarafa yerleştirilir.
Dişsiz Alt Çene için All on 4 Tedavi Konsepti
Dişsiz bir alt çeneyi sabit protezlerle tedavi etmek için All on 4 tedavi konseptiyle, tüm alt çene için sadece dört implant gereklidir. Geleneksel yöntemlerde ise en az altı implant yerleştirilmektedir.
Genellikle kemik kaybından etkilenen alt çenenin mevcut kemik hacminden en iyi şekilde yararlanılır.
All on 4 İmplant Prosedürü
All on 4, birden fazla eksik diş sorununu çözmeye ve tam işlevi geri kazandırmak için hastanın ağzını yeniden yapılandırmaya yönelik devrim niteliğinde bir yaklaşımdır. Bu kılavuzda, All on 4 diş implantlarının tüm sürecini ve bir hastanın prosedürden neler bekleyebileceğini açıklıyoruz.
Diş kaybı, çok çeşitli faktörlere bağlı olarak ortaya çıkabilen talihsiz bir durumdur. Bazen kazara bir darbe, bazen diş çürümesinin ileri aşamaları ve bazen de diğer ağız sağlığı sorunları nedeniyle olabilir. Diş kaybının altında yatan neden ne olursa olsun, hastanın ağzını tam işlevine geri döndürmek için uygun şekilde ele alınması gereken bir sorundur. Bu hedefe ulaşmanın en heyecan verici ve modern yöntemlerinden biri All on 4 olarak bilinen bir prosedürdür.
All on 4 İmplant Prosedürünü Farklı Kılan Nedir?
Diş etlerinin üzerine basitçe oturan geleneksel protez stilleri hala çok yaygın olsa da, birçok hastanın eksiklik olarak gördüğü birkaç yönü vardır. Örneğin, protez yapıştırıcılarının zamanından önce gevşemesi alışılmadık bir durum değildir, bu da protezlerin beklenmedik bir şekilde diş etlerinden ayrıldığı potansiyel olarak utanç verici durumlarla sonuçlanabilir. Ayrıca, protez yapıştırıcısının bağlanma gücü, kullanıcının yiyebileceği şeyleri sınırlar ve bazen kişinin en sevdiği yiyeceklerin tadını çıkarmasını engeller.
Buna ek olarak, geleneksel protezlerin her zaman belirgin olmayan önemli bir dezavantajı vardır ve bu da çenede dişlerin olmamasından kaynaklanan kademeli kemik yoğunluğu kaybıdır. Çenede bir diş varken, yemek yerken olduğu gibi ağzın doğal hareketleriyle kemiğe baskı uygular. Bu basınç büyümeyi uyarır ve çene kemiklerinin yoğunluğunu artırarak bölgeyi güçlendirir. Dişler kaza sonucu ya da diğer diş sağlığı sorunlarına bağlı olarak kaybedildiğinde, bu basınç azalır ve kemikler zaman içinde yavaş yavaş yoğunluk ve güç kaybetmeye başlar.
All on 4 implant tedavisiyle, ankraj diş implantlarının doğrudan çene kemiğine gömülmesiyle oluşturulan güvenli yapışma sayesinde tüm bu açılardan üstün bir sonuç sunar. Bu yaklaşım, kemik yoğunluğu kaybını önlemek ve çene kemiğinin gücünü korumak için doğal dişlerle aynı uyarımı sağlamaya çalışır. İmplantlar tarafından sağlanan stabilite ayrıca yedek dişler için çok daha sağlam bir bağlantı sunar. Bu, hastanın herhangi bir zamanda dişlerinin gevşemesi veya kazara ayrılması konusunda endişelenmesine gerek kalmadan neredeyse her türlü yiyeceğin tadını çıkarabileceği anlamına gelir.
Diğer protez diş yöntemlerine kıyasla tüm bu avantajlara sahip olan pek çok hasta, prosedüre nelerin dahil olduğu ve deneyimlerinin nasıl olacağı hakkında daha fazla bilgi edinmeye heveslidir. Şimdi sürecin tipik olarak nasıl ilerlediğine bir göz atalım.
İlk All on 4 Konsültasyonu ve Muayenesi
Tam ağız restorasyonu yolculuğuna başlamak için hastayla kapsamlı bir muayene ve konsültasyon yapılır. Bu, hastanın diş sağlığı ve geçmiş tıbbi geçmişinin ayrıntılı bir incelemesinin yanı sıra röntgenler, dijital 3D taramalar ve ağzın kapsamlı bir fiziksel muayenesini içerecektir. Bu test ve muayenelerin amacı, diş hekiminin hastanın diş sağlığının durumunu tam olarak anlamasını sağlamak ve böylece All on 4 prosedürü başlamadan önce ele alınması veya düzeltilmesi gerekebilecek altta yatan sorunları tespit etmektir.
Konsültasyon ve değerlendirme aşamasında, diş hekimi ayrıca hastayla hedeflerinin ne olduğu hakkında derinlemesine bir konuşma yapacak ve prosedür tamamlandıktan sonra beklenebilecek sonuç türü hakkında rehberlik sağlayacaktır. Bu, tüm hususların gereken şekilde dikkate alınmasını sağlamak için sürecin önemli bir parçasıdır. Hastaların genel sağlık ve refahları için herhangi bir büyük cerrahi prosedürden geçme kararı verirken mümkün olduğunca bilgilendirilmelerinin gerekli olduğuna inanıyoruz.
All on 4 Tedavisi için Prosedür Öncesi ve Hasta Hazırlığı
Hasta süreç hakkında tam olarak bilgilendirildikten, diş hekimi hastanın uygun bir aday olduğunu onayladıktan ve tedaviye devam etme taahhüdü verildikten sonra, prosedürün bir sonraki aşaması başlayacaktır.
Ameliyatın başlangıcına hazırlanmak için, diş implantlarının yerleşimini tam olarak planlamak ve yedek diş protezinin şeklini ve yönünü tasarlamak amacıyla birçok farklı ölçüm yapılmalıdır. Bu, hasta için mükemmel bir uyum ve optimum konfor sağlamak ve implantlar ile protez arasında en yüksek stabiliteyi sağlamak için yapılır.
Ölçümlerden bazıları, doğal diş eti çizgilerinin yüksekliğini, herhangi bir aşırı ısırma veya yetersiz ısırmanın boyutunu ve istenen nihai sonuca ulaşmak için ne kadar sırt azaltmanın gerekli olacağını içerir. Alveolektomi olarak da bilinen sırt küçültme, yedek diş protezini yerleştirmek ve hasta için doğal bir görünüm ve his için yeterli alan yaratmak amacıyla üst ve alt çeneden belirli bir miktar kemik materyalinin çıkarılması işlemini ifade eder.
Ayrıca hem üst hem de alt çeneden ısırma ölçüleri alınacaktır. Bu ölçüler, All on 4 prosedüründe kullanılan çeşitli bileşenlerin uyumunu ve boyutlandırılmasını test etmeye yardımcı olacak kalıplar oluşturmak için kullanılacaktır. Doğru yerleştirme ve uyumu doğrulamak için bu kalıplardan balmumu test protezleri oluşturulur ve bunlardan geçici implant destekli protezler yapılır. Tüm çeşitli bileşenler hazırlandıktan sonra, hastanın All on 4 ameliyatı planlanacak ve işlemler ilerleyecektir.
All on 4 Prosedürü, Adım Adım
Tedavinin cerrahi kısmı sırasında diş cerrahı, işlemin sonunda bu mesafenin korunmasını sağlamak için hastanın üst ve alt çeneleri arasındaki doğru doğal mesafeyi ölçecek ve işaretleyecektir. Temel olarak bu, yüz yapınızı ve çenenizi işlemden önce olduğu gibi işlemden sonra da aynı konumda tutmak için yapılır.
Hasta sakinleştirildikten sonra ameliyat başlayacaktır. Mevcut dişler ve daha önce kaybedilmiş dişlerin kalıntıları çekilecek ve fazla veya hasarlı diş eti dokusu çıkarılacaktır. Sırt redüksiyonu için çene kemiğini ortaya çıkarmak üzere hem üst hem de alt çenede sırtın uzunluğu boyunca bir kesi yapılacaktır. Sırt, üst ve alt kemerlerin her birinden önceden belirlenmiş kemik ölçüleri çıkarılarak küçültülecek ve kalan kemik düzleştirilerek diş implantlarının yerleştirilmesi için hazırlanacaktır.
Dental implantların yerleştirilmesi, kemik yüzeyindeki her bir yerleştirme noktasının işaretlenmesiyle başlayacaktır. İmplantlar için pilot delikler, sinirler veya sinüs boşlukları gibi yüz anatomisinin diğer kısımlarıyla temastan kaçınırken mümkün olan en yüksek gücü ve stabiliteyi elde etmek için hassas açılarda açılacaktır. İmplantlar yerleştirildikten ve optimum tork gereksinimlerine göre sıkıldıktan sonra, diş cerrahı implantların etrafındaki diş eti dokusunu değiştirecek ve tüm kesileri kapatacaktır.
Bu noktada, yedek diş protezi için montaj direği görevi görecek olan abutmentler implantların uçlarına takılacaktır. Dayanakların geçici protezle buluştuğu temas noktaları işaretlenecek, delinecek ve ardından güvenli bir uyum sağlamak için test edilecektir. Geçici protez hazırlandıktan sonra mekanik bağlantı elemanları kullanılarak yerine sabitlenecektir.
Geçici protezdeki delikler doldurulup kapatılacak ve ısırma şekli kontrol edilip doğrulanacaktır. Üst ve alt çenelerin düzgün bir şekilde oklüzyonunu sağlamak için herhangi bir yüksek nokta veya düzensiz temas noktası düzeltilecektir. İyileşme süreci artık başlayabilir.
İyileşme Aşaması ve Nihai All on 4 Protezin Takılması
İşlem bittikten sonra, hastanın ameliyat sonrası ağız bakımı için standart yönergeleri takip etmesi gerekecektir. Gerektiğinde ağrı kesiciler reçete edilecek ve iyileşmeyi hızlandırmak için ağzın nasıl düzgün bir şekilde temiz tutulacağı ve hızlı bir iyileşme için ipuçları hakkında bilgi verilecektir. Gerekli görüldüğünde, diş hekimi ilerlemeyi izlemek için takip randevuları planlayacaktır.
İmplantların çeneyi çevreleyen kemikle tam olarak bütünleşmesine ve bağlanmasına izin vermek için hastanın işlemden sonraki ilk birkaç ay boyunca yumuşak gıda diyeti uygulaması önerilir. Dental implantlar, kemiği oluşturan organik materyalle güçlü ve güvenli bir bağ oluşturmada son derece güçlü ve son derece etkili olan gelişmiş bir kompozitten yapılmıştır. Bu bağlanma süreci genellikle yaklaşık 3-4 ay sonra tamamlanır ve hasta bu süre zarfında diyetini bir kez daha çiğ sebze ve kuruyemiş gibi daha sert gıdaları içerecek şekilde genişletebilir.
İyileşme süreci tamamlandıktan sonra hasta, nihai protezin yapımında kullanılacak olan bir başka ölçü seti için diş hekiminin ofisine geri dönebilir. Bunu yapmak için diş hekimi geçici protezi çıkaracak ve diş etlerinin ve implantların kalıplarını alacaktır, böylece yeni protezin uyumu tamamen iyileşmiş diş etlerinin ve implantların konturlarına uyacak şekilde özelleştirilecektir. Ölçüler alındıktan sonra geçici protez, son hali hazırlanana kadar tekrar yerine yerleştirilecektir.
Nihai protez takıldıktan sonra, prosedür resmi olarak tamamlanır ve hasta artık yepyeni kalıcı yedek diş setiyle hayatının tadını çıkarmaya hazırdır.
All on 4 Diş İmplantları ile Tam Ağız Fonksiyonunu ve Daha İyi Yaşam Kalitesini Yeniden Kazanın
Bu prosedürün, kayıp ve eksik dişlerin zorluklarıyla uğraşan birinin hayatında yaratabileceği farkı hayal edin. Birdenbire gülümsemeleri yepyeni görünüyor. Harika yemek seçenekleriyle dolu daha geniş bir dünya onlar için yeniden açılır. Özgüvenleri tazelenir ve nihayet kaybettikleri tam ağız fonksiyonunu geri kazanabilirler. Bu derin bir değişim ve pek çok hastaya sağladığımız için gurur duyuyoruz.
Siz veya sevdiğiniz biri bu hayat değiştiren prosedür için bir aday olabilirse, ilk All on 4 konsültasyonunuzu ayarlamak için bugün DTG Dental ile iletişime geçin. İhtiyacınız olan tüm bilgileri sağlamaktan ve All on 4 implant çözümünün sizin için doğru olup olmadığını belirlemenize yardımcı olmaktan memnuniyet duyacağız. Bu muhteşem tedavi ile gülüşünüzü geri kazanmanıza yardımcı olmak için sabırsızlanıyoruz!
