Kanal Yenileme Tedavisi
Kanal tedavisi dişin iç kısmını tedavi eder. Kanal tedavisinin son adımı, dişi korumak ve tam formuna ve işlevine kavuşturmak için kalıcı bir restorasyon yani kanal yenileme tedavisiyle yerleştirmektir. Bu prosedür, tedavi edilen dişin yeniden kirlenme veya kırılma riskini azaltmak için kanal tedavinizden sonraki bir ay içinde gerçekleştirilmelidir. Kalıcı bir diş kanal yenileme tedavisi, zarar verici sızıntı veya kırılmayı önleyerek kanal tedavisinin başarısını uzatacaktır.
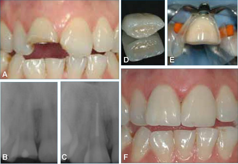
Tedavi edilen dişin genel durumu ve kaybedilen diş yapısı miktarı, dişin kalıcı bir kompozit dolgu veya diş kronu ile en iyi şekilde restore edilip edilmeyeceğini belirleyecektir. Ön dişlerde önemsiz diş yapısı kaybı olan küçük çürükler için diş hekiminiz kök kanal prosedüründen sonra diş renginde bir dolgu yerleştirebilir.
Diş hekiminiz kanal tedavisi görmüş bir dişin kanal yenilme tedavisiyle diş kronu yerleştirilmesini önerecektir. Kanal tedavisi görmüş dişler kırılgan olabilir ve bir diş kronu gelecekteki bakteriyel kontaminasyona ve kırılmaya karşı en iyi korumayı sağlar. Diş kuronu bir laboratuvarda yapılır ve dişinize özel olarak takılır. Kronlar porselen, metal veya ikisinin kombinasyonundan yapılır. Diş kronları ön veya arka dişlere yerleştirilebilir ve özellikle ağır çiğneme kuvvetlerine dayanması gereken azı dişleri için uygundur.
Kanal tedavisi görmüş bir dişin diş kuronu veya kalıcı dolgu ile restore edilmesi tedavinizin başarısını uzatacaktır. Hasarlı veya hastalıklı bir dişin belirtilerini gösteriyorsanız, uygun şekilde yapılan bir kanal tedavisi ve kalıcı restorasyon dişinizi kurtarabilir ve işlevini ömür boyu uzatabilir.
Diş kliniğimiz Antalya'da bulunmaktadır. Kanal yenileme tedavisi başarıyla uygulanmaktadır.
