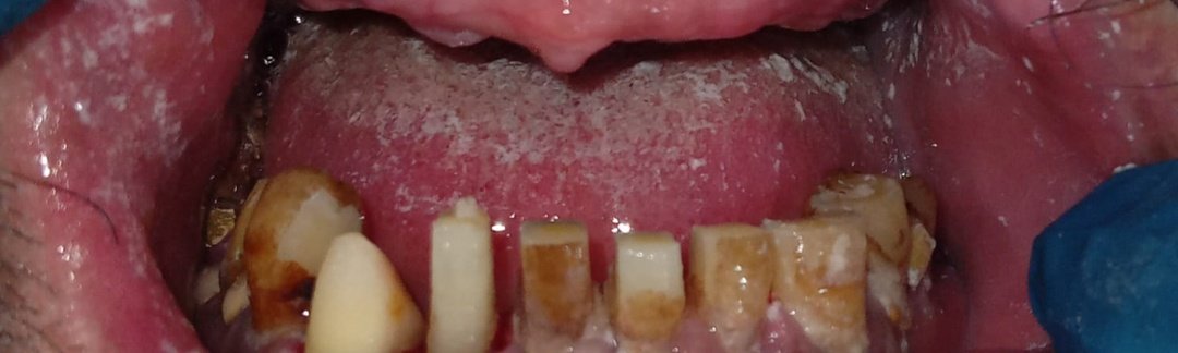
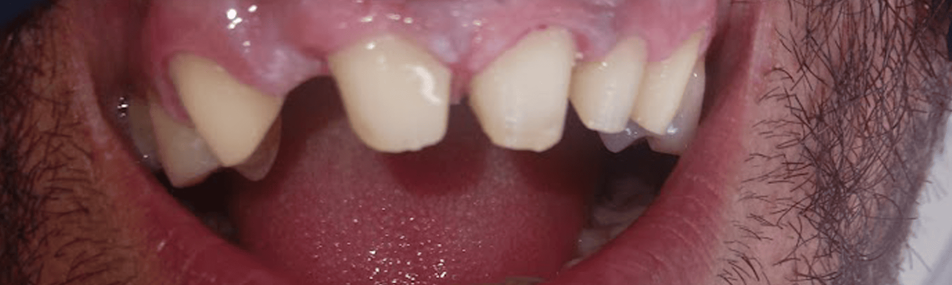
implant-tedavisi-galeri

DİKKAT

Sayfa içeriği sadece bilgilendirme amaçlıdır, tanı ve tedavi için mutlaka doktorunuza başvurunuz.

415722

1 1 k
2 2k
3 3k
1 2