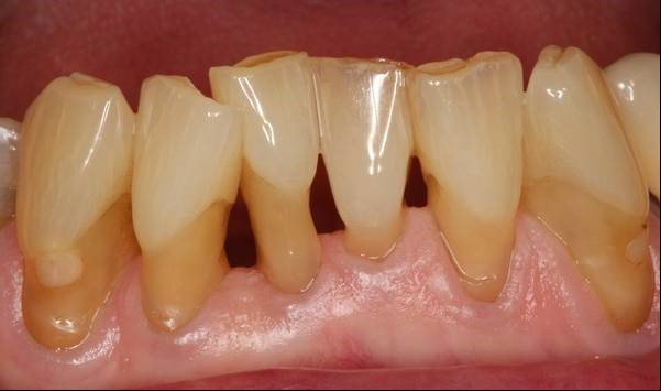
Periodontitis
Periodontitis herkesi etkileyebilir. Periodontal hastalık üç aşamaya ayrılmaktadır:
- Hafif periodontitis yok
- Orta derecede periodontitis
- Şiddetli periodontitis
Çalışma, 35 ila 44 yaş arasındaki genç yetişkinlerin yarısından fazlasının orta ila şiddetli periodontitisten etkilendiğini ve neredeyse her on kişiden birinin hastalığın şiddetli seyrinden muzdarip olduğunu göstermektedir. Yaşları 65 ila 74 arasında değişen genç yaşlıların neredeyse %20'si halihazırda şiddetli periodontitis hastalığından muzdariptir. Bu olumsuz gelişme yaş ilerledikçe artmakta, 75 ila 100 yaş arasındaki yaşlıların %90'ı şiddetli hastalıktan muzdarip olmaktadır. Etkilenen dişlerin ortalama sayısı da yaşla birlikte artmaktadır.
Daha az yaygın olan (tüm periodontal hastalıkların yaklaşık %5'i), genellikle 15 ila 30 yaşları arasında başlayan ve hızla ilerleyen periodontitistir. Bununla birlikte, çok agresif bakteri türleri aktif olduğu için ilerleme çok daha hızlıdır ve bu da birkaç hafta veya ay içinde büyük kemik kaybına ve dolayısıyla diş kaybına yol açabilir.
Bu endişe verici rakamlar nedeniyle biz diş hekimleri, birçok nedeni ve geniş kapsamlı sonuçları olabilen yaygın bir hastalıktan bahsediyoruz. Diş kaybı, hastalarımızın yararı için kaçınmak istediğimiz yaşam kalitesi kaybıyla el ele gider.
Bu nedenle, kesin olan bir şey var: profesyonel diş temizliği gibi hedefe yönelik önlemlerle bu ciddi yaygın hastalıkla hemen mücadele edebilmek için periodontal hastalığın önlenmesi ve erken teşhisi DTG Diş Kliniğimizin en önemli önceliğidir.
