Kompozit Bonding Öncesi Sonrası
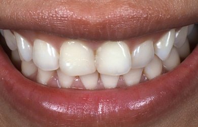
Ayşe hanım, mevcut kompozit yapıştırmasından memnun değildi çünkü dişi lekelenmişti. Sol üst yan dişi de biraz arkada kalmıştı. Diş hekimimiz, diş eti şekillerini iyileştirmek için bir diş eti kaldırma işlemi yaptı ve ardından, diş şeklini ve yerleşimini iyileştirmek için üç dişe kompozit bonding yerleştirildi.
